Contact Dermatitis: Synopsis
Updated: December 2020
Originally Posted: August 2004
Luz Fonacier, MD, FACAAI, FAAAAI
Head, Allergy Section, Division of Rheumatology & Immunology
NYU Langone Hospital-Long Island
Professor of Medicine – NYU Long Island School of Medicine
Mineola, NY, USA
Eleanor Feldman, MD
Allergy and Immunology
NYU Langone Hospital-Long Island

Contact dermatitis (CD) is a skin disorder characterized by redness, itching and vesiculation. In chronic cases, scaly desquamation and lichenification may also be present. CD results from contact with environmental substances that elicits an allergic and/or irritant response. A high clinical suspicion of an allergic contact dermatitis (ACD) is the first step in making the diagnosis. Patch testing is indicated in any patient with an acute or chronic dermatitis if an underlying or secondary ACD is suspected.
INTRODUCTION
CD is a common skin disorder with an estimated 5.7 million physician visits per year. All age groups are affected, with a slight female preponderance. Although the true prevalence and incidence is not known, CD accounts for approximately 85 – 95% of all occupational skin disease in industrialized countries. Hand dermatitis is the most common clinical manifestation, affecting 2 – 6% of this population. A fundamental characteristic of CD is its relationship to environmental exposures which can be determined by the site and shape of the skin lesions as well as a thorough history.
IRRITANT CONTACT DERMATITIS
Irritant contact dermatitis (ICD), the most common type of contact dermatitis, most frequently affects the hands. In children, diaper dermatitis and dry skin dermatitis are the most common forms of ICD. These skin lesions develop with prolonged and repeated exposure to substances that chemically abrade, physically irritate, or damage the skin (i.e. caustic agents, detergents). In children, lesions often result from repetitive exposure to water (lip licking or thumb sucking). Lesions are often well-circumscribed with a glazed, parched, or scalded appearance. Patch testing is usually negative and lesions resolve promptly with withdrawal of the offending agent. Although inflammatory cells play a role in the development of the dermatitis, allergen-specific immune lymphocytes are not involved in the pathogenesis thus prior sensitization is not necessary. The susceptibility to irritants varies among individuals but, given sufficient exposure, almost anybody can develop an ICD.
ALLERGIC CONTACT DERMATITIS
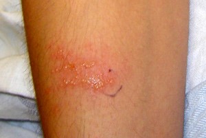
Allergic contact dermatitis (ACD) result from inflammation caused primarily by a type IV hypersensitivity (delayed) cellular immune response. Acute lesions are characterized by papules and/or vesicles associated with weeping, crusting, erythema, edema and pruritus. (See figure A below) Prior sensitization is essential and rapid development of dermatitis occurs with re-exposure to low concentrations of allergen. This usually occurs within 6 to 12 hours in sensitized individuals. Chronic lesions may manifest as fissuring, skin thickening, lichenification, acneiform eruptions, hypo- or hyper-pigmentation. ACD has been reported in infants as early as one week of age although sensitization typically occurs by age 6 months.

Figure A
COMBINATION OF ALLERGIC AND IRRITANT CONTACT DERMATITIS
Simultaneous exposure to both irritant and contact allergens may produce additive, synergistic or antagonistic responses. If present at higher concentrations, allergens involved in ACD have the potential of establishing an ICD by up-regulating pro-inflammatory cytokines and/or enhancing the dermal penetration of the allergen.
PHOTODERMATITIS
Photodermatitis may involve phototoxic or photoallergic reactions. Photo dermatosis typically affects sun-exposed areas such as the face, the ‘‘V’’ of the anterior neck, the dorsal hands, and forearms. It usually spares the upper eyelids, upper lip, submental and post-auricular areas. Other causes of dermatitis in this anatomical distribution are phototoxic drug eruptions, photo-allergic drug eruptions, and systemic diseases, such as lupus erythematosus. A photoallergic reaction may develop when UV light interacts with chemical agents (i.e. fragrances, para-aminobenzoic acid, plants, parsnips, figs, or certain oral medications), inducing various forms of photosensitization. For example, phototoxic and photoallergic lesions can develop on sun-exposed skin with systemically administered agents (i.e. medications). Contrastingly, when the sensitizing agent is applied directly to the skin (i.e. fragrances), lesions will develop at the site of application following exposure to sunlight.
SYSTEMIC CONTACT DERMATITIS
Allergic systemic contact dermatitis (SCD) may present as a generalized dermatitis or an exanthema in the intertriginous and flexural areas (Baboon Syndrome). Flares can also develop in previous CD or positive patch test sites with systemic exposure to a known contact sensitizer (e.g., ingestion, infusion or transcutaneous exposure). The pathophysiology is similar to ACD, with initiation of an inflammatory response upon activation of allergen-specific T lymphocytes. The most common causes of SCD include metals (mercury, nickel, gold), medications (aminoglycosides antibacterials, corticosteroids, aminophylline), plants and herbal products (Balsam of Peru, Compositae and Anacardiaceae plant families).
DIFFERENTIAL DIAGNOSES
CD may be suspected based on the clinical appearance and distribution of the lesions, lack of associated systemic symptoms and the absence of other plausible etiologies. Histologically, CD is characterized by intercellular edema of the epidermis (spongiosis) and varying degrees of epidermal stratum basale and stratum spinosum thickening (acanthosis). Superficial perivascular, lymphohistiocytic infiltrates are also present. It is difficult to distinguish an ACD from an ICD based on clinical and histological features. Differentiating these two conditions, however, is important especially in an occupational dermatitis. An ICD may allow the patient to continue to work with appropriate skin protection. A detailed history of domestic, occupational, sporting and leisure contactants coupled with results of patch testing is required.
The differential diagnosis of a CD includes other inflammatory skin diseases. Atopic dermatitis (AD) usually presents at an early age and is more chronic in nature. These patients also have a personal or family history of atopy. Lesions are typically distributed on the face in infancy, on the extensors in early childhood and on the flexural areas in adolescence and adults. Patch testing (PT) should be done in patients with AD under certain circumstances: upon failure to improve with topical therapy, those with atypical distribution of dermatitis, hand eczema resistant to therapy, adult or adolescent onset AD and/or before initiating systemic immune-suppressants for the treatment of AD. Seborrheic dermatitis commonly occurs on the scalp, periauricular area, face (medial eyebrows, glabella, nasolabial folds), presternal and interscapular area. Lesions are sharply demarcated with a dull, yellowish-red appearance that may be covered with greasy-looking scales. Dyshidrotic eczema must be considered as a differential diagnosis in ACD that involves the hands. Clinical features include symmetrical, small deep-seated vesicles on the palms, soles and/or lateral aspects of the fingers. The vesicles are also intensely pruritic. Mycoses Fungoides (MF) and Cutaneous T-Cell lymphoma are also important conditions to rule out in the evaluation of an ACD. These diseases are characterized with patches that have a thin, wrinkled appearance, often with reticulated pigmentation (see figure B below). They are often present on the lower trunk and buttocks. These conditions can also present with plaques and nodules. Because of this variable presentation, a skin biopsy is required for confirmation. Pruritus varies among individuals though it is more common in the premycotic phase and may precede MF by years.

Figure B: Mycosis Fungoides
COMMON ALLERGENS CAUSING ALLERGIC CONTACT DERMATITIS
Nickel
Nickel is the most common cause of ACD in both children and adult in many countries. Nickel allergy classically involves the ears due to contact with earrings, skin under belt buckles and the hands. It can also affect the face from accidental spread from the hands. Nickel is commonly used in orthodontics. Patients with known nickel sensitivity may need to avoid certain flexible titanium-nickel arch wires, which release increased amounts of nickel compared to stainless steel. Nickel is also a common cause of SCD. In females, nickel sensitivity may increase the risk of developing hand eczema.
Body piercing (ear piercing) has been associated with an increase in nickel sensitization. In Europe, regulations on the amount of nickel present in consumer products were implemented more than 20 years ago. As a result, follow-up studies have demonstrated a precipitous drop in the rate of nickel sensitization in these countries. The presence of releasable nickel from the surface of an object can be detected by the dimethylglyoxime spot test; a pink color indicates the presence of >0.5 µg nickel/cm2/week.
Chromates
Exposure to potassium chromate is common in the leather industry (i.e. tanning process) and in construction (exposure to cement). ACD to chromate present in leather shoes may develop in warmer climates since perspiration facilitates the release of the allergen. Chromate sensitivity can be associated with hand or foot dermatitis, which can persist even after chromate avoidance.
Rubber Accelerators: Thiurams, Carbamates, Mercaptobenzothiazole
ACD to rubber usually develops because of sensitization from rubber products that are worn close to the skin. Examples are elastic bands in underclothes, gloves, shoes and barrier contraceptives (see figure C below). Common rubber allergens include carbamates, thiurams, and mercaptobenzothiazole. Carbamates are also found in garden fungicides. An allergy to black rubber, in particular, may also be due to sensitization to paraphenylenediamine dye rather than to the rubber component itself. In addition, patients suspected of rubber ACD should also be tested to mixed dialkyl thioureas (diethylthiourea and dibutylthiourea) since the majority of thiourea-sensitized patients do not react to the common rubber allergens on patch testing.
Mixed dialkyl thioureas (MDTU) is used as a rubber accelerator and antioxidant in the manufacturing of neoprene. ACD from neoprene has been reported with use of orthopedic braces, prostheses, splints and foot supports; athletic shoes; rubber masks, swim goggles and wet suits; computer wrist rests; neoprene gloves; and rubber-based materials in automobiles. Furthermore, latex rubber can also cause allergic contact urticaria and anaphylaxis, which is an IgE-mediated reaction to latex protein allergens.
Mixed dialkyl thioureas (MDTU) is used as a rubber accelerator and antioxidant in the manufacturing of neoprene. ACD from neoprene has been reported with use of orthopedic braces, prostheses, splints and foot supports; athletic shoes; rubber masks, swim goggles and wet suits; computer wrist rests; neoprene gloves; and rubber-based materials in automobiles. Furthermore, latex rubber can also cause allergic contact urticaria and anaphylaxis, which is an IgE-mediated reaction to latex protein allergens.

Figure C: ACD to Gloves
Fragrances
Fragrances are complex substances that contain hundreds of different chemicals. Some examples are Balsam of Peru, cinnamic aldehyde, cinnamyl alcohol, hydroxycitronellal, geraniol, isoeugenol, eugenol and oak moss. These chemicals make up the most common causes of ACD to cosmetics. They are also present in many topical preparations, soaps, perfumes, toothpastes and other personal care products. Sensitized patients must use "fragrance free" products. "Unscented" products are not suitable since they may still contain masking fragrances. It is important to note, however, that fragrance free products may contain large quantities of botanical extracts. These extracts are used to improve the odor of the product but can also be a source of sensitizers. It is necessary to perform patch testing with a sufficient number of chemicals to detect a delayed hypersensitivity to fragrances. Once a fragrance allergy is diagnosed, a treatment plan to avoid exposure to culprit fragrances in products should be established.
Preservatives
Preservatives are used in most aqueous-based cosmetics and personal hygiene products to prevent rancidity and microbial contamination. These preservatives tend to be grouped into 2 broad categories: formaldehyde releasers (products that emit formaldehyde) and non-formaldehyde releasers.
Formaldehyde is one of the most widespread allergens in the environment. It is present in fixatives, adhesives, preservatives and disinfectants. Many cosmetics and disinfectants contain either formaldehyde or formaldehyde releasers (imidazolidinyl urea, DMDM, hydantoin, diazolidinyl urea, and quaternium-15). Formaldehyde is also found in fabrics, particularly in "care- free" type of garments, to help retain their shape. Many formaldehyde-sensitized patients, however, can tolerate these types of garments if they have been washed several times.
A non-formaldehyde releaser, methyldibromo gluteronitrile (MDG/PE) recently emerged as an important cosmetic allergen that is associated with hand dermatitis. Another non-formaldehyde releaser, methylchoroisothiazolinone/methylisothiazolinone (MCI/MI), is a common preservative in cosmetics and personal care products. MCI/MI is usually found in a 3:1 combination however the use of MI alone has been increasing (i.e. shampoos, conditioners, baby soaps and detergents, wet wipes, moist towelettes, and moist toilet paper). The MCI/MI mix in patch tests misses approximately 40% of allergy to MI likely due to the low concentration of MI in the MCI/MI mix.
Parabens in cosmetics can also induce an ACD. Paraben-sensitization is also commonly reported with topical antibacterial medications, especially when applied to damaged skin in conditions such as long-standing dermatitis and stasis ulcers.
Paraphenylenediamine
Paraphenylenediamine (PPD) is the active ingredient in many permanent and semi-permanent hair dyes. It is a major cause of ACD among hairdressers. Although hair dye is the most common source of exposure, current trends, like body painting and temporary tattooing, are leading to other routes of exposure. ACD from PPD may be severe as it may also present with angioedema.
PPD is also used as an antioxidant in oils and greases, and as a component in color film developers. It is also used as a dye for leather, fur, textiles, industrial rubber products, and black henna tattoos. Cross-reactivity with other para-amino compounds, such as benzocaine, para-aminobenzoic acid (PABA), sulfa drugs, aminoazobenzene, isopropyl-para-phenylenediamine (IPPD), and azo dyes have also been reported.
Cocoamidopropyl betaine
Cocoamidopropyl betaine (CAPB) is the surfactant that is often used in shampoos, bath products, liquid shower gels, roll-on deodorants, eye and facial cleaners, liquid detergents, surface cleaners, pet care products, and other skin and hair care product. Contact dermatitis from CAPB may present as an eyelid, facial, scalp, and/or neck dermatitis.
Medications
Benzocaine, a PABA derivative, is a sensitizer and is present in many nonprescription medications such as preparations for the treatment of hemorrhoids and burns and as a topical anesthetic. Cross-reactions with procaine, butacaine, tetracaine, propoxycaine, metabutethamine, meprylcaine and isobucaine can occur.
The antibacterial agent, neomycin, is a common cause of ACD. It cross reacts with paromomycin, butirosin, framycetin, tobramycin, kanamycin and gentamicin. Patients with neomycin allergy may also have concomitant sensitization to bacitracin. Medications for the treatment of leg ulcers can cause dermatitis of the legs (see figure D below). Patients with stasis dermatitis, leg ulcers, anogenital dermatitis & otitis externa are at a higher risk of developing ACD to these antibiotics.

Figure D: Acute ACD due to medication
Topical corticosteroids (TCS) can be categorized into different groups based on potency and allergenicity. The potency & side effects of TCS are related to saturation of the glucocorticoids in different cell types and can be classified as super-, high-, moderate-, and low-potency. (Table 1) The allergenicity is based on 2 immune recognition sites – C 6/9 & C16/17 substitutions – and can be classified into Class/Groups A, B, C, D-1, D-2. Class A contains the hydrocortisone and tixocortol pivalate groups; Class B contains the acetonides while Class C contains the nonesterified betamethasone. Class D1 steroids have a C16 methyl group and a halogenated B ring. Class D2 steroids are labile esters without a C16 methyl group nor a B ring halogen substitution. (Table 2) ACD to TCS should be suspected if the rash fails to respond, or initially responds then worsens, with prolonged therapy. Although rare, patients with ACD to TCS can develop SCD with systemic exposure to corticosteroids (i.e. inhalational, oral, intravenous, parenteral). Because of cross-reactivity within and between the groups, avoidance of a group of TCS is recommended once allergy to one member of the group is confirmed by patch testing Vehicle and preservatives in topical preparations of corticosteroids are also common causes of ACD. Common vehicle ingredients are propylene glycol, sorbitan sesquioleate, formaldehyde-releasing preservatives, parabens, MCI/MI and lanolin.
If patch testing is not available, use of a Class C steroid with a vehicle with no “common” allergens is recommended (i.e. desoximetasone) or topical calcineurin inhibitors.
DIAGNOSIS AND EVALUATION OF CONTACT DERMATITIS
Patch Testing
PT is the gold standard for the diagnosis of ACD. PT is indicated in any patient with an acute or chronic, pruritic, eczematous, or lichenified dermatitis for which there is a suspicion of an underlying or secondary ACD. The dermatitis, if extensive, should be controlled prior to PT. Ideally, patients should not be on immunosuppressant medications such as systemic corticosteroids, cyclosporine and /or mycophenolate prior to PT. If, however, oral corticosteroids cannot be discontinued, some studies have shown that PT in patients on low doses of prednisone (less than 20 mg/day) and cyclosporine may still yield clinically relevant results. TCS and topical calcineurin inhibitors should not be applied onto the test site 5 to 7 days prior to testing. Patients should also refrain from sun tanning or using a sunbed 2-4 weeks prior to the PT. It is prudent not to PT patients who are pregnant or breastfeeding.
Patch Test Allergens
It is important to use standardized allergens for occluded PT whenever possible, since these have been extensively tested and shown not to induce skin irritation or sensitization. Most of these allergens are commercialized as a petrolatum mixture. Those that cannot be dispersed in white petrolatum due to the chemical stability are available in aqueous form.
The standard and/or additional series of PT allergens are sold by companies working in close connection with the International Contact Dermatitis Research Group (ICDRG) as well as other international and national groups. A core or baseline series of PT antigens such as those used by the NACDG, the T.R.U.E. Test™ panel or the Core Allergen Series outlined by the American Contact Dermatitis Society (ACDS) may be used. However, relying on these series alone may not identify the causative allergen in all patients, leading to underdiagnoses of ACD. Therefore, the addition of supplemental PT allergens based on specific patient exposures and patient’s personal products may be needed. For an eyelid, lip and facial dermatitis, it may be necessary to include the patient’s personal products. In general, leave-on products (e.g., lipstick, rouge, moisturizer, foundation), clothing, and gloves can be tested without any modifications. Rinse-off products (e.g., shampoo, conditioners, anti-perspirants) should be diluted (10-2 or 10-3) as higher concentrations may lead to an irritant reaction. Other nonstandardized allergens, household cleansers and industrial products should be tested only by physicians with expertise on this type of testing after evaluating the MSDS information.
Several studies have also shown an increased prevalence of ACD to specific allergens in AD patients, including metals, fragrances, preservatives, plants (i.e., compositae), antiseptics (i.e., chlorhexidine), emollients (i.e., lanolin), topical medicaments (i.e., neomycin, corticosteroids), surfactants (i.e., cocamidopropyl betaine), and rubber accelerators.
The upper back is the preferred site for PT as the concentration of standard allergens has only been determined for skin in this area. In some circumstances, the upper parts of the arm may be used.
The patches are kept in place for 48 hours after their application. The tests are read 20-30 minutes after removal of the patches to allow erythema from the occluding pressure or stripping of the tape and/or chamber to resolve. A second reading should be done between 3-7 days following application. Irritant reactions appearing within the first 48 hours tend to disappear (decrescendo effect) by 96 hours whereas allergic reactions tend to increase (crescendo effect), thus the importance of a third visit. Patch test contactants such as metals (nickel sulfate, gold sodium thiosulfate, palladium chloride, potassium dichromate, cobalt chloride), some antibiotics (neomycin), TCS (tixocortol-21-pivalate, budesonide), and dyes (para-phenylenediamine) may develop more than 7 days later. A late reading at 7-10 days after PT application may also be considered if the testing fails to identify a culprit allergen but the clinical history strongly supports sensitization.
Interpretation of Patch Test Reactions
>All patch tests must be interpreted in conjunction with the patient's clinical history and the morphology of the skin lesions. Positive patch tests may not be relevant to the patient's present clinical condition and may simply represent sensitization. Sweat and moisture are important factors in the development of contact dermatitis by facilitating the allergen to leak out from the contact material. Therefore, in some patients, skin lesions may only occur during hot weather.
Grading of Patch Tests
The International Contact Dermatitis Research Group has published a descriptive scoring system to standardize patch test readings.
(-) Negative reaction
(?+) Doubtful reaction with faint erythema only
(1+) Weak positive reaction with non-vesicular erythema, infiltration, possibly papules
(2+) Strong positive reaction with vesicular erythema, infiltration, and papules
(3+) Extreme positive reaction with intense erythema and infiltration, coalescing vesicles, bullous reaction
(IR) Irritant reaction
(NT) Not tested
False Positive Patch Test Reactions
The causes of false positive test reactions are:
False Negative Patch Test Reactions
The causes of false negative test reactions are:
Determining the Relevance of a Positive Patch Test Reaction
The assessment of a positive patch test reaction must be correlated to the history and physical exam to establish its clinical relevance. A positive patch test reaction may be clinically relevant depending on current or past exposures.
Currently, relevance in PT is defined as:
Definite: if the patch or use test with the suspected allergen is positive.
Probable: if the allergen is present in the patient’s present or past topical products and the clinical presentation is consistent with that exposure.
Possible: if skin contact with materials known to contain the allergen is likely.
Past relevance: if the patch test site is positive but exposure to the allergen was in the past and not recent.
TREATMENT OF CONTACT DERMATITIS
Avoidance
Once the allergen or irritant has been identified, avoidance of contact with the allergen is the key to successful treatment in ACD. If PT was able to identify the specific allergens in the patient’s personal products, the patient should be informed of the allergens and counseled regarding their avoidance. A list of the allergens, synonyms as well as its cross reactors should be discussed. Compliance will be improved if patients are given a list of products that they can use that are devoid of the identified allergens.
For patients who are allergic to nickel, the dimethyl-glyoxime test can be used to detect nickel release from metal objects. The cobalt spot test detects the presence of disodium-1-nitroso-2-naphthol-3, 6-disulfonate and can be used to evaluate dermal exposure to cobalt. Using these tests to detect the presence of these metals in products can aid in avoidance.
Topical Corticosteroids
In addition to avoidance of allergen exposures, medical therapies can be used as adjunct measures. These therapies include TCS, phototherapy, oral retinoids and immunosuppressants.
TCS are widely accepted as the treatment of acute and chronic dermatitis and may be sufficient for localized lesions. The vehicle, however, is an important consideration. Gels are drying and are preferred on acute vesicular dermatitis whereas ointments are most effective on chronic lichenified dermatitis. Creams, on the other hand, are often used when patients do not tolerate ointments for aesthetic reasons. Ointments and potent fluorinated TCS should be avoided in young children and on areas of thinner skin such as the intertriginous areas, eyelids and face.
Systemic Treatments
Systemic therapies can be considered in contact dermatitis that involves a large area of the body or if it interferes with essential aspects of daily life. Acute, extensive and severe dermatitis such as extensive Toxicodendron dermatitis may require systemic therapies such as oral corticosteroids. Patients must be informed of the unwanted effects of systemic corticosteroid treatment, including bone density loss, increased blood pressure, hyperglycemia, weight gain, cataract and susceptibility to infection.
Other treatments including cyclosporine, azathioprine and psoralen plus ultraviolet A have been used for steroid-resistant ACD such as chronic hand dermatitis. However, the patient must be informed of the risks and benefits of these treatments.
Prevention
Skin protection can be useful, especially in occupational dermatitis. This includes the use of personal protective equipment such as gloves, goggles, face shields, uniforms, and cotton liners under gloves. In some instances, use of specialized skin creams, such as barrier creams, can be considered. A skin care regimen with moisturizers to protect the barrier function of the skin may also be useful. For the pediatrics population, it is especially important to restore the lipid and moisture barrier to the skin to prevent trans-epidermal loss from repetitive wet-dry exposure.
Antihistamines
Neither the itching nor the inflammation of contact dermatitis responds to antihistamine therapy. However, sedating antihistamines, such as diphenhydramine and hydroxyzine, are often administered to help a patient sleep through the night. Topical antihistamines is not recommended, as they may be potent sensitizers.
Low Contact Allergen Products
Prior to PT or if PT cannot be done, eliminating the most common allergens may improve the dermatitis in some patients. This includes:
In children, it is estimate that 1/3 of children with ACD will potentially benefit from Pre-emptive Avoidance Strategy (P.E.A.S.) [Hill H, Goldenberg A et al, Pre-emptive avoidance Strategy (P.E.A.S.) emptive avoidance Strategy (P.E.A.S.)--addressing allergic contact dermatitis in pediatric addressing allergic contact dermatitis in pediatric population. Jour Expert Review of Clinical Immunology 2016, Vol 12 p 551- 561] This includes the avoidance of Neomycin, Formaldehyde, Balsam of Peru, Corticosteroids, Fragrance Mix, MCI/MI, Lanolin, Propylene glycol, Cocamidopropylbetaine and Benzalkonium chloride
Table 1: Classification of the Potency of Topical Corticosteroid Preparations

Table 2: Classification of Topical Corticosteroid Preparations Based on the Structural Properties (based on 2 immune recognition sites - C 6/9 & C16/17 substitutions)
A C17 or C21 short chain ester
Hydrocortisone, Tixocortol, Cloprednol, Dichlorisone acetate, Fludrocortisone acetate, Fluorometholone, Fluprednisolone acetate, Medrysone, Meprednisone, Methylprednisolone acetate, Prednisone sodium phosphate, Prednisolone acetate
B C16, C17 cis-ketal or –diol additions
Amcinonide, Budesonide, Desonide, Fluocinolone acetonide, Fluocinonide, Flumoxonide, Flunisolide, Halcinonide, Triamcinolone acetonide
C C16 methyl group
Betamethasone sodium phosphate, Desoximetasone, Dexamethasone-sodium phosphate, Difluocortolone, Flumethasone, Fluocortin butyl, Fluocortolone, Fluprenidene acetate, Halometasone
D1 C16 methyl group & halogenated B ring
Aclometasone diproprionate, Bethametasone 17 valerate, Bethametasone dipropionate, Clobetasol propionate, Clobetasone 17 butyrate, Diflorasone diacetate, Fluticasone propionate, Halobetasol
D2 Labile esters without C16 methyl group or halogenated B ring
Hydrocortisone aceponate, Hydrocortisone 17-butyrate, Hydrocortisone-17-valerate, Prednicarbate, Methylprednisolone aceponate
