Vasculitis Syndromes
Updated: May 2021
Updated: August 2016
Posted: May 2007
Updated by:
Dalia El-Ghoneimy, MD, PhD
Professor of Pediatrics, Pediatric Allergy, Immunology and Rheumatology Unit
Children's Hospital,
Ain Shams University
Cairo, Egypt
Original Author:
Dennis K. Ledford, MD
Professor of Medicine and Pediatrics
University of South Florida
College of Medicine
Division of Allergy/Immunology
Joy McCann-Culverhouse Airway Disease Research Center
James A. Haley VA Hospital
Tampa, Florida
Introduction
The term vasculitis identifies complex medical conditions characterized by blood vessel inflammation and damage. Serious complications result when the vascular lumen or vascular integrity is compromised and ischemia results. Vasculitis may be a primary disease and referred to as primary systemic vasculitides (PSV) or a manifestation of another disease (Table 1). Typically, vasculitis is systemic but organ-limited vasculitis occurs. Specific vasculitis syndromes affect some tissues or organs more than others (Table 2).
The diversity of vasculitis syndromes makes these conditions a clinical concern for general medicine physicians as well as specialists. Vasculitis syndromes most likely to be encountered by allergists/immunologists are hypersensitivity vasculitis; ANCA-associated vasculitis, including granulomatous polyangiitis (also designated GPA or Wegener granulomatosis) and eosinophilic granulomatosis with polyangiitis (also designated EGPA or Churg-Strauss vasculitis; and giant cell arteritis (also designated GCA or temporal arteritis); Table 2. Microscopic polyangiitis (MPA) is also a concern as it may selectively affect the lung.
Because the etiology of most vasculitis syndromes is unknown, the development of definitive therapy for these conditions is hampered. However, recent studies have emphasized the role of novel genes and HLA susceptibility in the pathogenesis of PSV. These advances might help to address the usefulness of biomarkers whether already known or newly developed in determining the prognosis and outcome of these disorders. Nevertheless, progress continues in refining immunosuppressive treatment and specific targeted biological therapy for PSV (in improving the monitoring of therapy). In addition, diagnostic classification schemes continue to evolve and new testing modalities - particularly antineutrophil cytoplasmic antibody (ANCA) testing - are clinically useful.
Classification Schemes
Clinical features of many vasculitis syndromes overlap, and these conditions are heterogeneous - complicating the diagnosis and classification of affected subjects. Both the heterogeneity and usual lack of an etiology hinder the development of a useful classification system. Available classification schemes are chiefly descriptive, and some are designed more for clinical trial subject selection than for clinical application.
The Chapel Hill consensus conferences 2012 (CHCC 2012) resulted in an organization and classification of vasculitis based principally on the size of the affected vessel (Figure 1). However, the CHCC 2012 nomenclature and the definitions do not provide diagnostic and classification criteria. Moreover, controversy continues about small-vessel necrotizing arteritis, currently considered MPA in the Chapel Hill classification scheme or overlap syndrome by others. Some authorities believe MPA is a component of polyarteritis nodosa. However, MPA should not be confused with small-vessel necrotizing vasculitis, which occurs in GPA (Wegener granulomatosis) and EGPA (Churg-Strauss syndrome). Neither should MPA be confused with leukocytoclastic vasculitis, typical of Henoch-Schonlein purpura or hypersensitivity vasculitis. Leukocytoclastic vasculitis affects capillaries and venules generally found in the skin. MPA affects vessels of various sizes, including small arteries, but not usually muscular arteries as in polyarteritis nodosa. MPA frequently involves the lung with hemorrhagic alveolitis and may be associated with ANCA positivity. Two series of randomized controlled trials have helped to define the classification of vasculitis syndromes, using ANCA and treatment response. The Diagnostic and Classification Criteria in Vasculitis Study (DCVAS) will develop new diagnostic criteria and update the classification for systemic vasculitis
Figure 1. Classification scheme suggested by the Chapel Hill conference
Hypersensitivity Vasculitis
Epidemiology and pathophysiology:
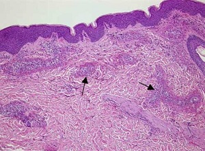
Hypersensitivity vasculitis is the most common vasculitis syndrome encountered in the clinical practice of allergy and immunology. Hypersensitivity vasculitis is comprised of a broad group of diseases which share a histological pattern of post-capillary venulitis with leukocytoclastic vasculitis. Leukocytoclasis refers to the nuclear debris remaining after neutrophils are necrosed as they infiltrate the affected blood vessel (Figure 2).
Figure 2. Hypersensitivity Vasculitis. This figure shows a low power view of hemotoxylin and eosin stained skin biopsy in a subject with hypersensitivity vasculitis. The biopsy demonstrates leukocytoclastic vasculitis. The black arrows point to small blood vessels in the subcutaneous tissue with perivascular leukocytes. A high power view would show red blood cell extravasation and nuclear debris from lysed white blood cells (nuclear dust).

Hypersensitivity vasculitis tends to affect the skin and occasionally the kidney. The loss of integrity of the capillaries and post capillary venules results in extravasation of red blood cells, usually causing purpura and a burning or minimally pruritic sensation. Together these histological and clinical features distinguish hypersensitivity vasculitis from urticaria.
Involvement of low-pressure, post-capillary venules results in a predilection for greater vessel leakage at sites of increased hydrostatic pressures. Hydrostatic pressures are greatest in dependent portions of the body - the distal legs in individuals who are upright and the sacral area in bedridden subjects. This distribution of cutaneous involvement is highly suggestive of hypersensitivity vasculitis. Vasculitis primarily affecting arterioles or arteries will not show the predisposition to affect posturally dependent vessels. Likewise, urticaria usually affects the torso and proximal extremities.
The majority of hypersensitivity vasculitis syndromes are secondary to another, primary disorder. These primary disorders include drug hypersensitivity, for example, penicillin allergy with serum sickness; autoimmune diseases, such as systemic lupus erythematosus; chronic hepatitis with cryoglobulinemia; and malignancy.
Diagnosis
The hallmark of the cutaneous reaction associated with hypersensitivity vasculitis is palpable purpura, usually in dependent body areas. Other cutaneous manifestations include a macular or papular rash, vesicles, bullae, subcutaneous nodules, ulcers, and urticaria. Skin lesions may be pruritic but more often are slightly painful or exhibit a burning sensation. Edema may accompany the lesions and hyperpigmentation results from hemosiderin in tissue macrophages resulting from phagocytosis of extravasated red blood cells.
There is no definitive laboratory diagnosis of hypersensitivity vasculitis other than a skin biopsy demonstrating leukocytoclastic vasculitis (Figure 2). Positive immunofluorescence for immunoglobulin and complement may occur but is not required for diagnosis. Mild leukocytosis - with or without eosinophilia - and increased acute-phase indicators, such as erythrocyte sedimentation rate (ESR) or C-reactive protein, are typical but non-specific. Laboratory tests and physical examination should focus on evaluating underlying diseases associated with this syndrome.
Treatment
Treatment for hypersensitivity vasculitis is supportive as there is a relatively benign prognosis without renal involvement. The syndrome is frequently limited to the skin and usually does not lead to life-threatening complications. If a specific antigen is detected, treatment should be targeted at eliminating any responsible infection or terminating administration of any identified causal drug. Antihistamine therapy for pruritus, treatment with nonsteroidal anti-inflammatory drugs for painful lesions, and - rarely, but with caution - short courses of systemic glucocorticoids may prove useful.
Vasculitis associated with antineutrophil cytoplasmic antibody (ANCA): ANCA-associated vasculitis (AAV)
Pathophysiology
Vasculitis varieties associated with antineutrophil cytoplasmic antibody (ANCA) include GPA (granulomatosis with polyangiitis or Wegener granulomatosis), EGPA (eosinophilic granulomatosis with polyangiitis or Churg-Strauss vasculitis), and MPA (microscopic polyangiitis). The description of ANCA and its association with specific vasculitis syndromes have modified the clinical evaluation of vasculitis and proposed pathophysiologic mechanisms. Cytoplasmic indirect immunofluorescence (IIF) of fixed neutrophils (c-ANCA) - demonstrating human autoantibody binding - is typical but not universal in GPA. Perinuclear staining (p-ANCA) is characteristic of EGPA, MPA, and progressive glomerulonephritis with vasculitis. Exceptions occur so ANCA does not prove or exclude a diagnosis. For example, p-ANCA may be seen in about 5% of GPA cases. ANCA occurs in subjects without vasculitis and is absent in some individuals with these conditions. Thus, the detection of ANCA supports but does not establish a diagnosis, and the absence of ANCA does not eliminate the diagnosis of vasculitis of these types. Measuring antibodies to specific neutrophil antigens, for example, proteinase 3 (associated with c-ANCA) and myeloperoxidase (associated with p-ANCA), enhances the specificity of ANCA results. A 2017 international consensus statement on ANCA testing recommended initial testing for suspected AAV with immunoassays for PR3-ANCA and MPO-ANCA, rather than IIF. Atypical ANCAs, where no antigen specificity is detected by immunoassays (positive IIF and negative enzyme-linked immunosorbent assay) can be found in some non-vasculitic diseases such as inflammatory bowel disease, and malignancy. Rarely, anti-MPO and anti-PR3 ANCA can exist in the same patient and is usually suggestive of drug-induced vasculitis.
Antimyeloperoxidase antibody is typically present in MPA (microscopic polyangiitis) or EGPA (Churg-Strauss syndrome) and is associated with p-ANCA. Anti-proteinase 3 is more specific for GPA (Wegener granulomatosis) and is associated with c-ANCA. The concentration of ANCA is not useful to monitor disease activity and assist in treatment decision-making.
ANCA may activate neutrophils, resulting in initiation or augmentation of immunologic response and blood-vessel damage. The importance of ANCA in the pathophysiology of the associated vasculitis is unproven but suspected.
Development of ANCA in the first place is linked to genetic predisposition mainly to HLA certain types (HLA-DP with anti-PR3 ANCA and HLA-DQ with anti-MPO-ANCA) as well as some genetic polymorphisms such as cytotoxic T-lymphocyte-associated protein 4 (CTLA4) and protein tyrosine phosphatase, non-receptor type 22 (PTPN22) are possible contributing factors. Certain environmental factors can trigger the development of ANCA in genetically susceptible person including: chronic nasal carriage of staphylococcus aureus, silica exposure and certain medications.
One of the most accepted models to demonstrate the role of ANCA in the pathogenesis of AAV begins with priming of the neutrophils by tumor necrosis factor-alpha (TNF-α) or lipopolysaccharide in a way that does not result in full neutrophil activation but enough to cause translocation of ANCA-antigen (MPO and/or PR3) from intracellular granules to the cell surface.
These neutrophils also release properdin with subsequent activation of the alternate complement pathway with the production of the anaphylatoxin C5a, which binds to C5a receptors on neutrophils, leading to further neutrophil priming and activation. The increased urinary C5a and low C3 support the role of alternate complement pathway in AAV.
ANCA will then activate primed neutrophils through binding to MPO and/or PR3 expressed on their surface as well as to Fc receptors. This will result in release of numerous cytotoxic mediators including reactive oxygen species, chemokines, cytokines, proteolytic enzymes and nitric oxide. Moreover, the firm adhesion of the activated neutrophils to the endothelial cells results in endothelial cell damage and recruitment of other inflammatory cells including monocytes and T cells. Then these activated entered in accelerated but aberrant apoptotic pathway producing the well-recognized phenomenon of leucocytoclasis that is commonly seen in certain vasculitides.
Diagnosis
GPA (Wegener granulomatosis) typically affects the upper airway, lung, and kidney. Involvement of the airway is the main reason that allergists/immunologists will encounter this vasculitis syndrome. The majority of affected subjects will have ear, nose, or throat involvement including persistent sinusitis, nasal crusting or bleeding, otitis media, hearing loss, and ear pain. Pulmonary involvement occurs in more than 80% of affected subjects, usually showing nodules, infiltrates, or hemoptysis.
Symptoms of EGPA (Churg-Strauss vasculitis) overlap with persistent sinus disease, difficult-to-treat asthma, allergic bronchopulmonary aspergillosis, eosinophilia, and increased blood IgE. EGPA almost always occurs in individuals with a history of asthma and allergy or allergic-like disease, overlapping with the majority of patients seen by an allergist/immunologist (Figure 3).
Figure 3. Eosinophilic Granulomatosis with Polyangiitis (Churg-Strauss Vasculitis. The figure is a high power view of hematoxylin and eosin stained skin biopsy in a subject with EGPA. The small blood vessel demonstrates findings of perivascular eosinophil infiltration (black arrows) of a small blood vessel wall, indicated by the white arrow head. These findings are similar to hypersensitivity vasculitis except for the predominance of eosinophils and involvement of both arterioles and venules.

MPA (microscopic polyangiitis) or small-vessel necrotizing vasculitis is characterized by pulmonary involvement, often with hemorrhage. Symptoms and signs include cough, shortness of breath and ground glass changes on chest radiographs. Asthma is not typical with MPA.
Since all three of these syndromes share a tendency for ANCA positivity and airway involvement, allergists/immunologists are likely to encounter individuals in which these syndromes are considered in the differential diagnosis. The prognosis of all three is poor without suitable treatment. So, allergists/immunologists should be aware of ANCA positive vasculitis to facilitate prompt diagnosis and initiation of life-saving treatment.
Treatment of ANCA associated vasculitis
Mean survival time of untreated subjects with GPA is 5 months with more than 90% mortality rate within 2 years of diagnosis without therapy. The 5-year mortality of untreated EGPA and MPA is 75% or more. With treatment, patients with all three ANCA-positive vasculitis syndrome groups have a 5-year survival rate of greater than 70%.
Glucocorticoid therapy alone is marginally effective in GPA and MPA, with a median survival of slightly more than one year for patients with GPA. Controlled trials of GPA have demonstrated that a combination of oral prednisone, 1-1.5 mg/kg/day and oral cyclophosphamide, 2mg/kg/day, is effective in inducing remissions. Intravenous pulse cyclophosphamide, 15 mg/kg every 2 weeks for 3 doses, followed by 15 mg/kg every 3-4 weeks for maintenance is preferred by many experts. In the presence of active renal disease with decreased renal function, IV therapy may be more effective than oral therapy in preserving or recovering renal function. Furthermore, the total dose of cyclophosphamide over a course of treatment, usually 6 months or more, may be less with IV therapy. Oral or IV Mesna should be used with IV cyclophosphamide pulse therapy to minimize bladder injury, and some clinicians use oral Mesna with daily oral cyclophosphamide. Monitoring urine analysis for hematuria is important in limiting bladder toxicity, with dysmorphic RBCs suggesting renal injury from the vasculitis and normal RBCs suggesting bladder toxicity from the cyclophosphamide. Alternative induction regimens include rituximab, monoclonal anti-CD20 which depletes B lymphocytes, 375 mg/m2 IV per week for 4 weeks or 1 gm IV with a repeat in 2 weeks. Rituximab may be repeated every 6 months to maintain remission. Finally, with the milder disease some initiate therapy with weekly oral methotrexate 20-25 mg/week.
Following induction therapy, the corticosteroid is tapered over 6 months and if cyclophosphamide was used for induction it is transitioned to a less risky long-term therapy, such as oral azathioprine, mycophenolate mofetil or weekly methotrexate. Disease and therapy monitoring require regular laboratory studies including metabolic profile, urine analysis and complete blood counts. Prophylactic therapy for Pneumocystis jerovicii is recommended during the treatment with immunosuppressive agents. Validated instruments, such as the Birmingham Vasculitis Activity Score, may be useful in quantifying symptoms and signs. Prednisone dosage is tapered to every other day over 6-24 months while the second immunomodulator agent is continued. Relapses may respond to repeat cyclophosphamide therapy, although rituximab, methotrexate, mycophenolate mofetil or azathioprine may be effective and minimize the cumulative toxicity. The high probability of relapse of GPA results in most experts recommending life-time immunomodulatory therapy.
Recommendations for therapy of other forms of ANCA-associated vasculitis, EGPA, and MPA, are less secure because of fewer controlled trials. However, many clinicians use treatments similar to GPA. Some experts treat EGPA only with corticosteroids if there is no evidence of cardiac, renal or neurologic involvement. Eosinophil peripheral blood counts may be useful in monitoring therapy, although tissue eosinophilia with necrosis may occur without marked peripheral eosinophilia.
Relapses of GPA after remission, along with the cumulative adverse effects produced by both the prednisone and cyclophosphamide administration, have stimulated the search for alternative treatments. Rituximab is not inferior to cyclophosphamide based upon randomized controlled trials. A randomized study demonstrated clinical benefits of monthly, pulse therapy with cyclophosphamide compared with daily oral therapy. This study showed a reduction of side effects and a 57% reduction of total cyclophosphamide dose needed for disease control. The intravenous treatment group experienced significantly fewer infections, less leukopenia, and a possible reduction of gonadal toxicity as a result of decreased levels of follicle-stimulating hormone. Also, intermittent, intravenous cyclophosphamide is associated with less bladder toxicity than daily, oral therapy. Recent onset of disease, presence of renal involvement and absence of granulomas in the lung and airway characterize a cohort of subjects that shows a better response to intravenous cyclophosphamide. An oral combination of trimethoprim and sulfamethoxazole reduces relapse rates in some forms of GPA, sparing additional cytotoxic and glucocorticoid therapy. However, the long-term effectiveness of trimethoprim/sulfamethoxazole therapy is doubtful making monotherapy risky and not recommended. Weekly, oral, pulse–administration of methotrexate is also effective in controlling GPA and is a consideration if cyclophosphamide toxicity or adverse gonadal effects with sterility is an overriding concern. Methotrexate therapy is not recommended for severe, immediately life-threatening disease. Limited data support the efficacy of mycophenolate mofetil and calcineurin inhibitors, such as cyclosporine and tacrolimus, in the treatment of necrotizing vasculitis. Inhibitors of tumor necrosis factor - such as etanercept - are not effective in GPA. Intravenous gamma globulin may be of some value in EGPA. Monoclonal antibodies that target IL-5 and eosinophils in EGPA have not been adequately studied and are not recommended. The selective C5a receptor inhibitor avacopan in a multicenter phase 2 trial showed some promising results in AAV.
Giant-Cell Vasculitis (GCA)
Pathophysiology
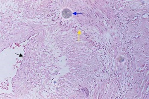
Giant-cell vasculitis (GCA) typically affects large arteries that have an elastic lamina (Figure 4).
Figure 4. Giant Cell Arteritis (GCA or Temporal Arteritis). This figure is a high power view of a biopsy of a temporal artery in a subject with GCA. The black arrow demonstrates the endothelium with red blood cells in the intravascular space. The endothelium shows pathologic changes with edema and a proliferative subintimal response. The yellow arrow points out the disrupted elastic lamina and the blue arrow a granuloma typical of this form of large vessel vasculitis.

Most commonly, these vessels are part of the carotid artery or its branches. But GCA is a systemic disorder, and any large artery may be affected. Giant-cell arteritis is histologically characterized by features of a panarteritis. This panarteritis is accompanied by inflammatory, mononuclear infiltrates inside the vessel wall, which usually focus on the internal, elastic lamina. Multinucleated giant cells are typical. This pathophysiology suggests a cell-mediated immune response, probably specific for antigens in the elastic lamina. The pathophysiology is supported by distinct cytokine patterns; detection of increases in tumor necrosis factor, IL-6, IL-1β, IL-2 and IFN-γ; and identification of T lymphocytes expressing specific antigen receptors with restricted clonal expansion. Temporal or cranial arteritis occurs almost exclusively in individuals more than 50 years of age and is more common in Caucasian women of northern-European heritage. Familial aggregation and an association with select human leukocyte antigen (HLA) alleles, particularly HLA-DR4, support a genetic predisposition for the disease. Polymyalgia rheumatica, a syndrome accompanied by symmetrical musculoskeletal aching, often occurs with giant-cell vasculitis, but this condition may occur alone and is twice as common as giant cell vasculitis.
Diagnosis
The clinical symptom that makes GCA likely to be encountered by allergists/immunologists is the headache. This headache is easily confused with the other facial and cranial complaints that are sometimes attributed to sinus disease. The headache is often more severe than a patient’s prior headaches, is described as somewhat boring in character, and may be unilateral. Scalp pain, particularly with hair brushing, or muscle pain with chewing is highly suggestive of the diagnosis. Other manifestations include fatigue, malaise, anorexia, weight loss, subjective fever, or sweats, along with pain in the axial and proximal muscle extremities. Initial physical findings are limited and include tenderness of the temporal artery and occasionally over one or more branches of the affected arteries. As with other vasculitis syndromes, ischemia is the major complication. Here, ischemia often affects the ophthalmic arteries with blindness from optic nerve ischemia being the most common severe complication. Scalp necrosis can also occur.
Laboratory findings include increased erythrocyte sedimentation rate, normochromic or slightly hypochromic anemia, increased gamma globulin and complement, elevated C-reactive protein, increased blood IL-6 concentration, and mildly abnormal liver function. Most of these findings reflect a systemic response to the release of inflammatory cytokines, particularly IL-1, IL-6, and tumor necrosis factor.
Diagnosis is usually confirmed by microscopic examination of a temporal artery segment (Figure 4). A biopsy of 3-5 cm of vascular tissue will optimize diagnostic potential. Bilateral biopsies increase diagnostic yield. Treatment may be initiated for as long as a week to 14 days before biopsy without significantly modifying diagnostic pathologic findings. This may be important to a clinician who might begin treatment before obtaining a biopsy to minimize the chance of irreversible blindness if the biopsy is postponed.
European league against Rheumatism (EULAR) in 2018 has released updated recommendations for defining disease activity states in LVV (table 3) and its management (table 4)
Treatment
Treatment of GCA is usually oral glucocorticoids alone. It is usually initiated at 40-60 mg/day until the disease is controlled, as manifested by resolution of symptoms and normalization of blood abnormalities particularly anemia and ESR. Tapering of the glucocorticoid therapy should be started as soon as possible to minimize systemic side effects, as treatment may be necessary for up to 2 years, usually on an every-other-day schedule for most of this time. Weekly methotrexate has permitted a reduction or discontinuation of glucocorticoid therapy in 2 randomized trials, allowing control of the disease with the limitation of glucocorticoid side effects such as osteoporosis. GCA is less likely to relapse following remission compared to ANCA-positive vasculitis; however, relapses do occur. Generally, repeat daily corticosteroid or the addition of an alternative immune modifier is effective for relapse therapy. Polymyalgia rheumatica is best treated with low-dose prednisone (usually 10-15 mg daily) for 6-12 months.
Summary
Allergists/immunologists frequently see hypersensitivity vasculitis associated with viral infection and drug allergy. A consideration of this vaculitic syndrome often enters into the differential diagnosis of urticaria. Allergists/immunologists may encounter ANCA-positive vasculitis because these conditions affect the lung and upper airway. EGPA occurs in subjects with a history of asthma and is characterized by pulmonary infiltrates and eosinophilia. GPA and EGPA often result in a persistent sinusitis, otitis media with effusion, hearing loss or mastoid disease. MPA is also associated with pulmonary infiltrates and hemoptysis. Finally, the headache found in GCA may be confused with sinusitis, introducing this condition into the differential diagnosis of older individuals being evaluated for sinus complaints.
Assessment and treatment of vasculitis remain empirical because of the absence of known etiologies and pathophysiology. The value of combining oral glucocorticoid therapy with cyclophosphamide has stood the test of time in GPA, but disease relapse and efforts to limit side-effects greatly spur the search for other therapies.
Many alternatives for vasculitis treatment are available but inadequate experience prevents definitive recommendations. Since vasculitic syndromes are relatively rare, our potential of gathering sufficient numbers of patients for double-blind trials is low. Therefore, each clinician must weigh risks against benefits in various treatment options without the advantage of definitive trial data. Treatment choice remains a challenge in managing subjects diagnosed with vasculitis.
Table 1. Classification of Vasculitis Syndromes
Primary vasculitis syndromes
Wegener’s granulomatosis
Churg-Strauss syndrome
Polyarteritis nodosa
Microscopic polyangiitis
Giant Cell arteritis
Takayasu’s arteritis
Henoch-Schöenlein purpura
Idiopathic cutaneous vasculitis
Essential mixed cryoglobulinemia
Behcet’s syndrome
Isolated vasculitis of the central nervous system
Cogan’s Syndrome
Kawasaki disease
Secondary vasculitis syndromes
Drug-induced vasculitis
Serum sickness
Vasculitis associated with other primary diseases
Infection e.g. Hepatitis B associated polyarteritus nodosa
Malignancy
Autoimmune disease (e.g. systemic lupus erythematosus, Sjögren’s Syndrome)
Table 2. Types of Vasculitides


ANCA: antineutrophil cytoplasmic antibody; GI: gastrointestinal; CNS: central nervous system; COPD: chronic obstructive pulmonary disease
|
Activity state |
EULAR consensus definition |
|
Active disease |
1. The presence of typical signs or symptoms of active LVV 2. At least one of the following: a. Current activity on imaging or biopsy. b. Ischemic complications attributed to LVV. c. Persistently elevated inflammatory markers (after other causes have been excluded). |
|
Major relapse |
Recurrence of active disease with either of the following: a. Clinical features of ischaemia* (including jaw claudication, visual symptoms, visual loss attributable to GCA, scalp necrosis, stroke, limb claudication). b. Evidence of active aortic inflammation resulting in progressive aortic or large vessel dilatation, stenosis or dissection. |
|
Minor relapse |
Recurrence of active disease, not fulfilling the criteria for a major relapse |
|
Refractory |
Inability to induce remission (with evidence of reactivation of disease, as defined above in ‘Active disease’) despite the use of standard care therapy |
|
Remission |
Absence of all clinical signs and symptoms attributable to active LVV and normalization of ESR and CRP; in addition, for patients with extracranial disease there should be no evidence of progressive vessel narrowing or dilatation (frequency of repeat imaging to be decided on an individual basis) |
|
Sustained remission |
1. Remission for at least 6 months. 2. Achievement of the individual target GC dose. |
|
Glucocorticoid-free remission |
Sustained remission Discontinued GC therapy (but could still be receiving other immunosuppressive therapy) |
Note: the above table was reproduced with permission; the original table can be found in the "2018 Update of the EULAR recommendations for the management of large vessel vasculitis"

The level of evidence (LoE) was determined for different parts of each recommendation (referred to with different signs such as * or §). The level of agreement was computed on a 0–10 scale. DMARD, disease modifying anti-rheumatic drug; FV, final vote (% of expert panel members that agreed to the recommendation); LVV, large vessel vasculitis; LoA, level of agreement; LoE, level of evidence; NA, not applicable; SoR, strength of recommendation; TAB, temporal artery biopsy; TAK, Takayasu arteritis; TNF, tumour necrosis factor.
Note: the above table was reproduced with permission; the original table can be found in the "2018 Update of the EULAR recommendations for the management of large vessel vasculitis"
References
Wegener's Granulomatosis Etanercept Trial (WGET) Research Group. Etanercept plus standard therapy for Wegener's granulomatosis. N Engl J Med 2005;352(4):351-61.
Jayne D, Rasmussen N, Andrassy K, Bacon P, Tervaert JW, Dadoniené J, et al; European Vasculitis Study Group. A randomized trial of maintenance therapy for vasculitis associated with antineutrophil cytoplasmic autoantibodies. N Engl J Med 2003;349(1):36-44.
Salvarani C, Cantini F, Boiardi L, Hunder GG. Polymyalgia rheumatica and giant-cell arteritis. N Engl J Med 2002;347(4):261-71.
Weyand CM, Goronzy JJ. Medium- and large-vessel vasculitis. N Engl J Med 2003;349:160.
Hoffman GS, Kerr GS, Leavitt RY, Hallahan CW, Lebovics RS, Travis WD, et al. Wegener granulomatosis: an analysis of 158 patients. Ann Intern Med 1992;116(6):488-98.
Jennette JC, Falk RJ, Andrassy K, Bacon PA, Churg J, Gross WL, et al. Nomenclature of systemic vasculitides. Proposal of an international consensus conference. Arthritis Rheum. 1994 Feb;37(2):187-92.
Hoffman GS, Cid MC, Hellmann DB, Guillevin L, Stone JH, Schousboe J, et al; International Network for the Study of Systemic Vasculitides. A multicenter, randomized, double-blind, placebo-controlled trial of adjuvant methotrexate treatment for giant cell arteritis. Arthritis Rheum 2002;46(5):1309-18.
Hellmich B, Agueda A, Monti S, Buttgereit F, de Boysson H, Brouwer E, et al. 2018 Update of the EULAR recommendations for the management of large vessel vasculitis. Ann Rheum Dis 2020;79(1):19-30.
Pendergraft WF 3rd, Nachman PH. Recent pathogenetic advances in ANCA-associated vasculitis. Presse Med 2015;44(6 Pt 2):e223-9.
Jennette JC, Xiao H, Falk RJ. Pathogenesis of vascular inflammation by anti-neutrophil cytoplasmic antibodies. J Am Soc Nephrol 2006;17(5):1235-42.
Lyons PA, Rayner TF, Trivedi S, Holle JU, Watts RA, Jayne DR, et al. Genetically distinct subsets within ANCA-associated vasculitis. N Engl J Med 2012;367(3):214-23.
Carr EJ, Niederer HA, Williams J, Harper L, Watts RA, Lyons PA, et al. Confirmation of the genetic association of CTLA4 and PTPN22 with ANCA-associated vasculitis. BMC Med Genet 2009;10:121.
Geetha D, Jefferson JA. ANCA-Associated Vasculitis: Core Curriculum 2020. Am J Kidney Dis 2020; 75(1): 124-37.
Jayne DRW, Bruchfeld AN, Harper L, Schaier M, Venning MC, Hamilton P, et al; CLEAR Study Group. Randomized Trial of C5a Receptor Inhibitor Avacopan in ANCA-Associated Vasculitis. J Am Soc Nephrol 2017;28(9):2756-67.
